Telephone

+36 70 613 6646

Working hours

Mon-Sat: 08:00 - 20:00

Telephone

+36 70 613 6646

Working hours

Mon-Sat: 08:00 - 20:00

Orthodontics

Esztétikus, korszerű fogszabályozás gyermekeknek és felnőtteknek

A DNP Dental fogászati klinikán a fogszabályozás célja, hogy pácienseink fogazata nemcsak esztétikailag, hanem funkcionálisan is tökéletes legyen. Akár gyermekkorban, akár felnőttként kezdjük el, a fogszabályozás célja ugyanaz: a fogak harmonikus, egészséges elrendezése és a magabiztos mosoly megteremtése.

MOST 15% kedvezményt adunk minden fém rögzített fogszabályozó készülékre

A rögzített fém fogszabályozó készülék ára egy fogívre így 210.000 Ft helyett 178.500 Ft a promóció erejéig.

Felnőtt és gyermek fogszabályozás a DNP Dental fogászati rendelőben

Mikor érdemes elkezdeni a gyermek fogszabályozását?

Sokakban él az a tévhit, hogy a fogszabályozással meg kell várni, amíg az összes maradó fog előtör. Valójában gyermekkorban a fogak és az állcsont még folyamatos fejlődésben vannak, ezért ez az időszak különösen kedvező a harapási és állcsonti eltérések felismerésére, valamint szükség esetén azok korrekciójára.

A DNP Dental rendelőjében már 6–7 éves kortól javasoljuk az első fogszabályozási konzultációt, amely során a fogváltás, a harapás és a csontnövekedés vizsgálatával mérjük fel, indokolt-e a kezelés, illetve mikor érdemes azt megkezdeni. Ez különösen fontos állkapocs- vagy harapási rendellenességek esetén, hiszen 12 éves kor alatt számos eltérés még műtéti beavatkozás nélkül is eredményesen korrigálható, míg később, a csontozat fejlődésének lezárulásával, egyes esetekben már csak műtéti megoldás jelenthet lehetőséget.

A korai vizsgálat nem minden esetben jelent azonnali kezelést, ugyanakkor lehetőséget ad arra, hogy a legmegfelelőbb időpontban történjen meg a beavatkozás. A megfelelő időzítésű fogszabályozás így nemcsak az esztétikus fogsor kialakítását támogatja, hanem az egészséges harapás, a harmonikus arcfejlődés és a későbbi összetettebb kezelések megelőzésében is fontos szerepet játszik.

A gyermekfogszabályozás célja

  • a helyes fogívek kialakítása,
  • a torlódás, résesség és harapási eltérések megelőzése,
  • a maradó fogak számára elegendő hely biztosítása,
  • a fogváltás folyamatának támogatása.

Alkalmazott eszközök gyermekeknél

A fiatal pácienseknél elsősorban kivehető készülékeket alkalmazunk, például:

  • Egyfogíves kivehető fogszabályozó készülék – kisebb elmozdulások korrekciójára
  • Bimaxilláris kivehető készülék – mindkét fogívre ható, komplex megoldás
  • Gyorstágító (Hyrax) készülék – a szűk felső állcsont tágítására, harapási eltérés esetén

Ezek az eszközök kényelmesek, könnyen tisztíthatók, és a növekedés időszakában rendkívül hatékonyan irányítják a fogak fejlődését.

Milyen fogszabályozó típusok érhetőek el a DNP Dental fogászaton?

Hagyományos rögzített készülékek

Fém fogszabályozó készülék

A klasszikus, megbízható megoldás, amellyel precízen irányítható a fogak elmozdulása. Nagyobb elmozdulások esetén is hatékony.

Fém hagyományos fogszabályozó

Esztétikus (kerámia) fogszabályozó készülék

A fog színéhez igazodó, kevésbé feltűnő megoldás, amely ötvözi a fémkészülékek hatékonyságát az esztétikával. Ideális választás felnőtteknek, diszkrét kezelésekhez.

Hagyományos kerámia fogszabályozó

Önligírozó készülékek

Önligírozó fém fogszabályozó

Speciális zármechanizmusának köszönhetően gumigyűrűk nélkül rögzíti az ívet, így a kezelés kényelmesebb, gyorsabb és higiénikusabb.

Fém önligírozó fogszabályozó

Önligírozó esztétikus fogszabályozó

A technológia és az esztétikum kombinációja. Kevésbé látható, kevesebb kontrollt igényel, és a kezelés általában rövidebb ideig tart.

Esztétikus, kerámia önligírozó fogszabályozó

Kivehető éjszakai vagy sínes fogszabályozó megoldások

Kivehető, éjszakai fogszabályozó készülék

Enyhébb eltérések, éjszakai viselésre ajánlott megoldás, amely segíti a harapás beállítását. Ezeket a készülékeket nem feltétlenül kell egész nap hordani.

Éjszakai kivehető fogszabályozó

Láthatatlan fogszabályozó

A legmodernebb, digitális technológián alapuló fogszabályozás: áttetsző, kivehető sínrendszer, amely fokozatosan, szinte láthatatlanul rendezi a fogakat.

Láthatatlan sínes fogszabályozó

A DNP Dental fogászaton elérhető német minőségű K-Aligner láthatatlan fogszabályozó készülék kényelmes, fémmentes, étkezéshez és tisztításhoz könnyen eltávolítható, ezért sok felnőtt páciens számára tökéletes választás. Előnye, hogy rendkívül gyors, kényelmes és emellett esztétikus is.

Fontos, hogy ezeket a készülékeket csak étkezések idejére szabad eltávolítani, napi szinten 20-22 óra hordás szükséges a megfelelő eredmény eléréséhez.

Kiegészítő elemek fogszabályozáshoz

Miniimplantátumok

A miniimplantátumok a szájüregben elhelyezett speciális rögzítési pontok a nagyobb stabilitás érdekében. 

Retainer és retenciós sín

A kezelés befejezése után ezek a készülékek biztosítják, hogy a fogak a helyükön maradjanak.

A fogszabályozás menete a DNP Dental fogászati klinikán

  1. Első konzultáció és vizsgálat: A kezelés egy röntgenfelvétellel és szakorvosi vizsgálattal kezdődik. A képalkotó diagnosztika mellett a fogszabályozó szakorvos felméri a harapást és a fogazat állapotát.
  2. Lenyomatvétel:  Ezután lenyomatvételre kerül sor, amely alapján tervezhetővé válik a teljes kezelés.
  3. Kezelési terv és konzultáció: A szoftveres tervezés után bemutatjuk a várható eredményt, és megbeszéljük a különböző kezelési lehetőségeket.
  4. A fogszabályozó készülék felhelyezése: A választott rendszer (rögzített, önligírozó vagy K-Aligner láthatatlan fogszabályozó) felhelyezését követően rendszeres kontrollokon követjük a fogak mozgását.
  5. Rendszeres kontroll: A fogszabályozó készülékek működését és a mosolyterv megvalósulását rendszeres kontrollvizsgálatokon ellenőrizzük.
  6. Retenciós fázis: A készülék eltávolítása után retenciós sínnel vagy retainerrel biztosítjuk a stabil eredményt.

Fogszabályozás árlista

The specialist consultation includes:

  • Specialist examination and condition assessment
  • Analysis of the teeth, bite and facial profile
  • Discussion of treatment options and providing information
15 000 Ft

The specialist consultation includes:

  • Specialist examination and condition assessment
  • Taking a dental impression or digital scan
  • Recording of smile and bite photographs
  • Preparation of the treatment plan
30 000 Ft

The specialist consultation includes:

  • Specialist examination and condition assessment
  • Taking a dental impression or digital scan
  • Recording of smile and bite photographs
  • Preparation of the treatment plan
550 000 Ft

The specialist consultation includes:

  • Specialist examination and condition assessment
  • Taking a dental impression or digital scan
  • Recording of smile and bite photographs
  • Preparation of the treatment plan
920 000 Ft

The specialist consultation includes:

  • Specialist examination and condition assessment
  • Taking a dental impression or digital scan
  • Recording of smile and bite photographs
  • Preparation of the treatment plan
1 250 000 Ft

The specialist consultation includes:

  • Specialist examination and condition assessment
  • Taking a dental impression or digital scan
  • Recording of smile and bite photographs
  • Preparation of the treatment plan
1 600 000 Ft

The treatment includes:

  • Specialist examination and condition assessment
  • Preparation and cleaning of the teeth
  • Bonding of brackets to the teeth
  • Insertion and fixation of the archwire
  • Regular follow-ups during the treatment
210 000 Ft/ fogív helyett 178 500 Ft/fogív

The treatment includes:

  • Specialist examination and condition assessment
  • Placement of aesthetic, tooth-colored brackets
  • Insertion and activation of the archwire
  • Regular follow-ups throughout the entire treatment period
265 000 Ft/ arch

The treatment includes:

  • Specialist examination and condition assessment
  • Placement of self-ligating metal brackets
  • Greater comfort and less frequent follow-ups
  • Insertion of the archwire and fine adjustments
330 000 Ft/ arch

The treatment includes:

  • Specialist examination and condition assessment
  • Placement of aesthetic, tooth-colored self-ligating brackets
  • nsertion and activation of the archwire
  • Possibility of more comfortable and faster tooth movement
360 000 Ft/ arch

The treatment includes:

  • Specialist examination and condition assessment
  • Adjustment or replacement of the archwire
  • Replacement of elastic rings, ligatures or components
  • Monitoring of tooth movement
23 000 Ft

The treatment includes:

  • Specialist examination and condition assessment
  • Checking the fit of the aligner
  • Delivery or adjustment of the next set of aligners
  • Monitoring of tooth movement
15 000 Ft

The treatment includes:

  • Specialist examination and condition assessment
  • Taking an impression or digital scan
  • Laboratory fabrication of the appliance
  • Delivery and usage instructions
85 000 Ft/ arch

The treatment includes:

  • Specialist examination and condition assessment
  • Design of an appliance for both jaws
  • Impression or digital scan
  • Laboratory fabrication
  • Delivery and precise adjustment
160 000 Ft

The treatment includes:

  • Specialist examination and condition assessment
  • Impression or digital scan of the upper jaw
  • Laboratory fabrication of the appliance
  • Fixation of the Hyrax appliance to the teeth
  • Instruction of the expansion protocol and regular follow-ups
130 000 Ft

The treatment includes:

  • Specialist examination and condition assessment
  • Checking the fit and effectiveness of the appliance
  • Necessary adjustments and consultation
15 000 Ft

The treatment includes:

  • Specialist examination and condition assessment
  • Preparation of the lingual tooth surfaces
  • Bonding of a thin wire to the inner side of the incisors
  • Check-up and cleaning instructions
32 000 Ft/ arch

The treatment includes:

  • Specialist examination and condition assessment
  • Impression or digital scan of the teeth
  • Laboratory fabrication of the aligner
  • Delivery and usage instructions
42 000 Ft/ arch

The treatment includes:

  • Specialist examination and condition assessment
  • Anesthesia of the area
  • Insertion of the mini-implant into the bone
  • Immediate loading for orthodontic forces
  • Follow-up examinations
65 000 Ft/ piece

The treatment includes:

  • Specialist examination and condition assessment
  • Cleaning of the area of the broken or detached bracket
  • Rebonding of the bracket
  • Reinsertion or adjustment of the archwire
10 000 Ft/ piece

The treatment includes:

  • Specialist examination and condition assessment
  • Removal of brackets and archwires
  • Gentle removal of adhesive material
  • Polishing of the teeth
  • Offering a retention solution (retainer or aligner)
25 000 Ft / arch

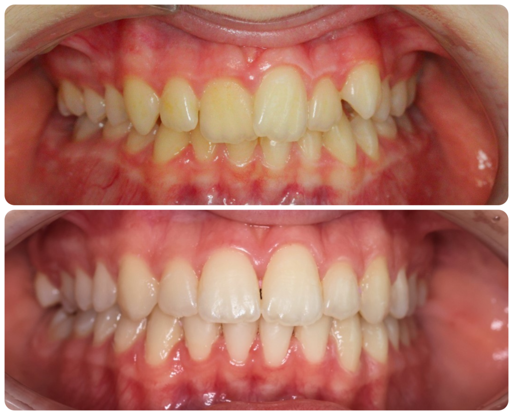
Before & After

Mikor lehet szükség fogszabályozásra?

A szabálytalan fogsor hosszú távon akár a fogak kopásához, állkapocs-ízületi panaszokhoz, valamint a fogak tisztításának nehézsége miatt szuvasodáshoz és ínygyulladáshoz is vezethet.

Melyek azok az esetek, amikor érdemes felkeresni fogszabályozó szakorvosainkat?

Nyitott harapás

Alul harapás

Kereszt harapás

Fogtorlódás

Mélyharapás

Résesség

Felnőtt fogszabályozás – diszkrét, esztétikus megoldások minden korosztály számára

Napról napra egyre több felnőtt dönt a fogszabályozó kezelés mellett, hiszen az esztétikus és láthatatlan készülékeknek köszönhetően a mindennapi életben szinte észrevétlenül zajlik a fogak rendezése.

A DNP Dental budapesti rendelőjében többféle megoldást kínálunk, hogy minden páciens megtalálja a számára legkényelmesebb és leghatékonyabb módszert.

Miért válassza a DNP Dental újbudai rendelőjét, ha fogszabályozást szeretne?

A DNP Dental újbudai rendelőjében tapasztalt, fogszabályozásra specializálódott szakorvosok fogadják a pácienseket. Rendelőnk modern diagnosztikai háttérrel rendelkezik, röntgen és CBCT segítségével pontos képet kapunk a fogazat állapotáról és a harapásról. 

Széles fogszabályozó kínálatunknak köszönhetően mindenki megtalálhatja a számára legmegfelelőbb megoldást, legyen szó hagyományos fém, esztétikus, önligírozó vagy láthatatlan készülékről. Családbarát, nyugodt környezetben fogadjuk pácienseinket, ahol a kezelések során a bizalom és a komfortérzet kiemelt szerepet kap.

 Minden esetben személyre szabott kezelési tervet készítünk, és a kezelés előrehaladását rendszeres kontrollvizsgálatokkal kísérjük figyelemmel.

Ismerje meg Dr. Rábai Ionát!

Dr. Rábai Ioana fogszabályozó szakorvos, többéves tapasztalattal rendelkezik szakterületén.

Célja, hogy pácienseinknek korszerű kezeléseket biztosítson, ugyanakkor gyorsan, precízen, személyre szabott kezelési tervekkel. Kiemelten alkalmaz innovatív technikákat, többek között önligírozó rendszereket, miniimplantátumokat és láthatatlan fogszabályozást, hogy a lehető legkényelmesebb és leghatékonyabb megoldást nyújtsa minden páciens számára.

Iona kiemelten figyel arra, hogy a páciensei biztonságban érezzék magukat, és magabiztos mosollyal, elégedetten távozzanak a rendelőből.

Dr. Rábai Iona fogszabályozó szakorvos

Páciensünk véleménye a fogszabályozás kezelésről klinikánkon

Gyakran Ismételt Kérdések (GYIK) a Fogszabályozásról

Hány éves kortól ajánlott a fogszabályozás?

A legtöbb gyermeknél 6–7 éves korban már érdemes megvizsgálni a fogváltás folyamatát. Felnőtteknél nincs felső korhatár, bármikor el lehet kezdeni a kezelést.

A készülék felhelyezése nem fájdalmas, de az első napokban enyhe nyomásérzet jelentkezhet, ami néhány nap alatt elmúlik.

A kezelés időtartama az eltérés mértékétől és az alkalmazott készüléktől függ, általában 6–24 hónap.

Igen, a K-Alignerrel enyhébb és közepes fogtorlódás is hatékonyan kezelhető, ráadásul esztétikus és kényelmes megoldás.

Igen. A kezelés után minden páciens kap retenciós készüléket, amely biztosítja, hogy a fogak ne mozduljanak vissza.

1115 Budapest, Bartók Béla út 92–94., 1st floor

Telephone +36 70 613 6646

E-mail: rendelo@dnpdental.hu