Munkáink
Fogászati implantátumok a mosoly helyreállításának legrugalmasabb és legstabilabb megoldását nyújtanak. A szolgálataikkal tökéletesen integrálódnak a pótolt fogak természetes fogakkal, úgyhogy a végeredmény szépséges, arányos és teljesen élethű. A fog nemcsak a funkcióban, de forma is a valódi fog érzetét nyújtja.
A fogászati héjak a mosoly átalakításának egyik legmodernebb és legkíméletesebb formáját adják. Ezek a vékony, precízen alakult kerámiaretegek finoman illeszkednek a fogak elülső felszínére, miközben teljesen eltüntetik az ilyen esztétikai probléma lényegét jelentő elszíneződéseket, formabeli eltéréseket vagy kisebb sérüléseket. A héjak bealkalmazása során a fogak színe, forma és arányai is harmonizálódhatnak, amelyek következtében a mosoly összhatása szemünknek látszanak megújulni. Az elkészült végeredmény friss, ragyogó és teljesen élethű, amely természetes hatást kelt és hosszú távon is megőrzi szépségét, minimális foganyagveszteség mellett.
A fogkőeltávolítás egyszerű, de nagyon fontos lépés a fogak és az íny egészségének megőrzésében. A mindennapi fogmosás és fogselymezés ellenére idővel mindenkinek kialakulhat fogkő, ami nemcsak esztétikai probléma, hanem gyulladást és ínyvérzést is okozhat. A kezelés során speciális eszközökkel óvatosan eltávolítjuk a lerakódásokat, majd a fogfelszínt simává és tisztává polírozzuk. Ennek köszönhetően a mosoly nemcsak tisztább és szebb lesz, hanem a fogak hosszú távú egészségét is védi.
A fogfehérítés gyors és látványos módja annak, hogy a mosoly frissebb és ragyogóbb legyen. Az évek során a fogak színe természetes módon sötétedhet, főleg kávé, tea, vörösbor vagy dohányzás hatására. A kezelés során biztonságos, professzionális anyagokkal világosítjuk a fogzománcot, miközben óvjuk a fogak és az íny épségét. Az eredmény már egy alkalom után is jól látható, és hosszú ideig megőrizhető a megfelelő ápolással.
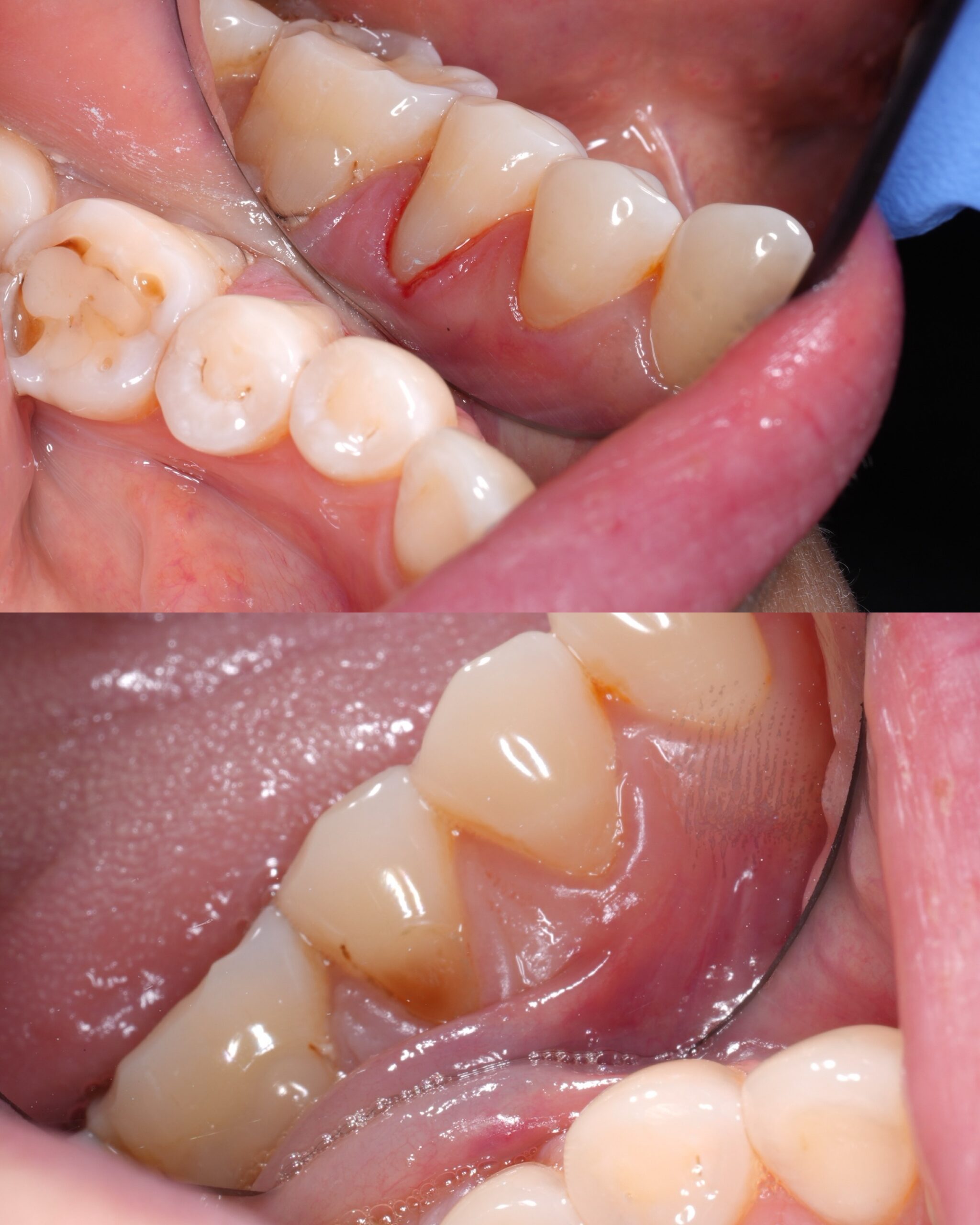
A gyökérkezelés célja, hogy megmentsük a fogat, amikor a fogbél begyullad vagy elfertőződik. Ilyenkor a kezelés során eltávolítjuk a gyulladt szövetet, megtisztítjuk a gyökércsatornákat, majd speciális anyaggal töltjük fel, hogy a fog hosszú távon is egészséges maradjon. Sok páciens meglepődik, mennyire kíméletesen és fájdalommentesen elvégezhető ez a beavatkozás, a végeredmény pedig az, hogy a saját fog megőrizhető még hosszú évekre.
A fogszabályozás célja, hogy helyreállítsuk a fogak és az állcsontok harmonikus működését és esztétikus megjelenését. A kezelés során fokozatosan, kíméletes erőkkel mozgatjuk a fogakat az ideális pozícióba, legyen szó torlódásról, résről vagy harapási eltérésről. A modern fogszabályozási megoldásoknak köszönhetően a kezelés ma már sokkal kényelmesebb és diszkrétebb, mint korábban. A végeredmény nemcsak szebb mosoly, hanem könnyebben tisztítható, egészségesebb fogazat is hosszú távon.
Figyelem! Az alábbi oldalon sebészeti beavatkozásokról (impantáció, csontpótlás) készült képek láthatóak, amelyek érzékeny nézők számára felkavaróak lehetnek.


















































